Trong giai đoạn đầu, bệnh diễn tiến âm thầm, hầu như không có dấu hiệu nào và đôi khi bạn không cảm thấy đau đớn gì cả. Nhưng một khi bệnh nha chu bắt đầu tấn công, thì chỉ là vấn đề thời gian cho đến khi bạn biết mình mắc bệnh này với những phản ứng phụ gây cảm giác khó chịu, không thoải mái và có nhiều khả năng không chữa trị được. Bệnh nha chu, cũng còn được gọi là bệnh...
1. Bệnh nha chu có điều trị được không? Về mặt điều trị, phải lưu ý những dấu chứng lâm sàng và xem đây là các mục tiêu của điều trị nha chu.
Giải pháp giúp bệnh nhân tự tin hơn Mặc dù về mặt giải phẫu học, cười hở lợi được xem là bình thường nhưng với quan niệm về thẩm mỹ, ta vẫn có thể gọi biểu hiện này là một loại bệnh và cần được điều trị.
Các yếu tố toàn thân hỗ trợ viêm nướu như: -    Nội tiết tố: Sự thay đổi tiết tố trong thời kỳ dậy thì ,chu kỳ kinh nguyệt ,lúc có thai, bệnh tiểu đường có thể làm trầm trọng thêm tình trạng viêm nướu do đáp ứng viêm cuả bệnh nhân đối với mảng bám bị xáo trộn .  
Viêm nướu do mảng bám là kết quả của tương tác giữa vi khuẩn hiên diện trên màng phím và tế bào viêm của cơ thể ,tác động của cơ thể và vi khuẩn có thể gây phá hủy mô do tác động của các yếu tố tại chỗ yếu tố toàn thân hay cả hai; sử dụng thuốc hay dinh dưỡng kém có thể ảnh hưởng đến mức độ trầm trọng và kéo dài của đáp ứng : yếu tố tại chỗ có thể tham gia vào viêm nướu...
Nha chu là bệnh của các mô quanh răng. Nếu không được điều trị, bệnh tiến triển đưa đến mất răng. Bệnh nha chu tiến triển chậm, không có các dấu hiệu gì đặc biệt, không đau, hoặc ít đau nên nhiều người thường bỏ qua. Tuy nhiên, hậu quả do bệnh nha chu gây ra lại đặc biệt nghiêm trọng, nếu được chẩn đoán và điều trị sớm có thể giảm nhẹ nguy cơ mất răng. Nguyên nhân...
(Theo tài liệu của Hiệp Hội Nha Khoa California). Trong giai đoạn đầu, bệnh diễn tiến âm thầm, hầu như không có dấu hiệu nào và đôi khi bạn không cảm thấy đau đớn gì cả. Nhưng một khi bệnh nha chu bắt đầu tấn công, thì chỉ là vấn đề thời gian cho đến khi bạn biết mình mắc bệnh này với những phản ứng phụ gây cảm giác khó chịu, không thoải mái và có nhiều khả năng không chữa trị...
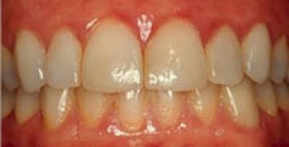
Nha chu liên quan trực tiếp đến mô nâng đỡ quanh chân răng, bao gồm bệnh của nướu và các bệnh lý phá hủy mô nâng đỡ sâu bên dưới nướu (xương ổ răng, dây chằng nha chu...). Nha chu là nguyên nhân quan trọng gây mất răng. Phòng ngừa bệnh nha chu Bệnh thường diễn biến qua 2 giai đoạn: viêm nướu và viêm nha chu. Nếu nướu bị viêm, ta sẽ thấy một hoặc nhiều dấu hiệu sau: - Nướu đổi màu so với...
Tụt lợi là quá trình lộ bề mặt chân răng do sự di chuyển về phía chóp chân răng của lợi. Tụt lợi là điềm báo trước sự mất cement chân răng, lộ ngà, tăng cảm giác và giảm thẩm mỹ. Phương pháp điều trị tụt lợi tốt nhất là ghép nha chu chân răng.
Bệnh nướu răng: Chải răng hàng ngày sẽ ngăn ngừa sâu răng nhưng chưa đủ để giữ răng nướu lành mạnh. Có lẽ bạn rất ngạc nhiên khi hầu hết mất răng ở người lớn không phải do sâu răng mà do bệnh nướu răng.

Viêm lợi: Hiểu biết và cách...

Viêm lợi mãn tính sẽ dẫn đến rụng răng. Có rất nhiều nguyên nhân gây nên căn bệnh này nhưng chủ yếu vẫn là vệ sinh...

Xem tiếp...

Phòng ngừa viêm nướu răng ở...

Viêm nướu răng là một bệnh rất thường gặp ở trẻ em do nhiễm trùng những mô mềm xung quanh nâng đỡ cho răng. Nếu nướu...

Xem tiếp...

VIÊM NƯỚU CHƯA HẲN SẼ BỊ...

Từ xưa đến nay, nhiều người đều cho bệnh nha chu xuất phát từ mảng bám dưới nướu, nơi chứa nhiều loại vi khuẩn....

Xem tiếp...