Niềng răng móm cho người lớn cũng ngày càng phát triển, khi hàm răng móm ảnh hưởng quá trình ăn nhai, làm mất thẩm mỹ và các khớp cắn không đúng nên khó khăn cho hàm dưới, gây đau khó chịu.   Do vậy, niềng răng móm cho người lớn là giải pháp hữu hiệu nhất. Niềng răng móm là phương pháp điều trị khớp cắn bị ngược so với người bình thường, răng dưới mọc chen chúc hay các kẽ hở...
Răng móm (răng hàm dưới nhô ra trước so với hàm trên) đôi khi có duyên nhưng chỉ chiếm tỷ lệ nhỏ. Còn móm hay gọi là vẩu hàm dưới thường làm bạn mất tự tin. Móm mà dễ thương như Yoona rất hiếm. Tại sao lại bị móm? Các nguyên nhân có thể là do di truyền (đặc điểm của cha mẹ truyền cho con cái, hoặc cũng có thể một bệnh lý di truyền trong đó có sự quá sản của xương hàm dưới), các...
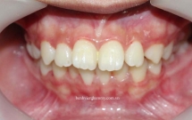
Răng mọc chen chúc kèm răng móm  là một tình trạng khuyết thiếu của hàm răng, nó làm ảnh hưởng tới chức năng ăn nhai và chức năng thẩm mỹ của khuôn miệng.   Tình trạng răng mọc chen chúc nhau thường làm cho khổ chủ cảm thấy khó chịu, mất tự tin và không thoải mái trong cuộc sống. Vì thế mà chất lượng cuộc sống cũng như chất lượng công việc bị giảm xuống. Ngày nay, chỉnh nha...
Niềng răng là giải pháp được áp dụng cho trường hợp răng bị mọc lệch, thưa hoặc hô móm nhẹ. Hiện nay có rất nhiều phương pháp niềng răng để lựa chọn tùy thuộc vào tình trạng răng miệng, mong muốn và “túi tiền” của bệnh nhân.   Vấn đề thời gian niềng răng hô móm mất bao lâu có lẽ là điều mà nhiều người quan tâm nhất. Thực chất thời gian niềng răng  còn phụ thuộc vào...
 Lựa chọn niềng răng móm là giải pháp tối ưu để điều trị khỏi hắn răng móm là bởi vì răng móm rất phức tạp khó đưa chúng vào đúng vị trí được. Hàm răng móm thường có hàm dưới nhô ra ngoài so với hàm trên răng thường không tương quan, không theo tỷ lệ chuẩn nào mất cân đối. Hai hầm răng không khớp vào nhau Răng hàm trên nắm trong hàm dưới làm cho răng chạm vào nướu tùy theo mức...
Mỗi lần cười tươi hết cỡ để lộ hàm răng chen chúc lộn xộn mất tự nhiên là nỗi ám ảnh của rất nhiều người. Nhưng thực ra bắt những “bé răng” cứng đầu này xếp hàng trật tự trở lại cũng không khó.   Bạn có đang trong tình trạng cười không dám cười? Tìm hiểu nguyên nhân tại sao răng lại mọc chen chúc lộn xộn? Răng mọc sát nhau trên nền móng là xương hàm. Nếu nền móng không...
Răng chen chúc (crowding) là tình trạng thường gặp nhất, chiếm tỉ lệ cao nhất trong rối loạn khớp cắn. Điều may mắn là ngày nay, điều trị răng chen chúc ít khi phải nhổ răng. Tình trạng răng mọc chen chúc gia tăng rất cao trong thời đại ngày  nay. Có rất nhiều nguyên nhân dẫn đến tình trạng răng mọc chen chúc, nhưng tóm lại đa phần chúng ta đang tiến hóa thoái bộ trên bộ răng vì chúng ta...
Răng khểnh hay còn được gọi là răng số 3 hay răng nanh có nhiệm vụ xé thức ăn. Răng khểnh sẽ làm cho bạn có nụ cười duyên dáng hơn, nhưng có nên niềng răng khểnh hay không vẫn là băn khoăn của nhiều người.   Để trả lời về vấn đề này, chúng tôi có thể đưa ra giải thích như sau. Răng khểnh có thể gây ra cho bạn một số bất lợi như sau: + Khi chiếc răng nanh mọc lệch sẽ làm xáo trộn...
Điều trị cười hở nướu để có một nụ cười tự nhiên, rạng rỡ là một điều trị rất phổ biến trong ngành nha khoa thẩm mỹ. Trong các chỉ số thẩm mỹ răng miệng thì khoảng cách lý tưởng giữa đầu nướu (phần chạm với răng) tới vành môi trên là khoảng 3mm. Nếu khoảng cách này dài hơn thì sẽ xảy ra tình trạng cười hở nướu (hay còn gọi là cười hở lợi), Cười hở nướu do xương...
Hiệu quả tối đa cộng với thời gian và chi phí thấp nhất. Đó là giá trị mang lại từ việc việc can thiệp chỉnh nha sớm.   Xót con là tâm lý chung của phụ huynh, bởi họ không muốn con em trải qua các thủ thuật hay phẫu thuật nào khi còn nhỏ. Tuy nhiên, điều này còn tùy vào phương thức điều trị nào. Có những phương pháp không áp dụng cho lứa tuổi nhỏ, ví dụ như phẫu thuật chỉnh hình...

Chỉnh răng hô ở trẻ em

Với trẻ em thì vấn đề chỉnh hình răng hô đơn giản hơn nhiều so với người trưởng thành , ở tuổi 16 trở lại tỉ lệ...

Niềng răng thưa thẩm mỹ

Niềng răng thưa giúp người thực hiện khắc phục được khuyết điểm răng thưa gây mất thẩm mỹ giúp họ sở hữu một...

HIỂU RÕ VỀ TÁC HẠI CỦA RĂNG...

Đa phần mọi người nhìn nhận vấn đề này dưới phương diện thẩm mỹ. Tuy nhiên răng hô hay còn gọi là 1 loại sai khớp...