Điều trị chỉnh nha là một điều trị đòi hỏi thời gian lâu dài và cần có sự theo dõi liên tục, đầy đủ. Muốn điều trị chỉnh nha thành công cần sự nỗ lực hợp tác tốt của cả bác sĩ và bệnh nhân, đặc biệt sự hợp tác chặt chẽ giữa cha mẹ và trẻ được chỉnh nha là rất cần thiết để đạt kết quả tốt.
Đầu tiên, bác sĩ chỉnh nha sẽ hỏi bệnh sử, khám lâm sàng, lấy dấu nghiên cứu, chụp ảnh ngoài mặt và trong miệng và chụp phim tia X để đánh giá các chỉ số sọ mặt. Tập hợp tất cả các dữ kiện này, ngoài việc giúp bác sĩ chẩn đoán mức độ lệch lạc răng mặt và lập kế hoạch điều trị, còn rất hữu ích để theo dõi tiến triển của điều trị. Kế hoạch điều trị sẽ được bác sĩ...
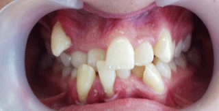
Có những người mất tự tin vì răng không đẹp, bị các dị tật về răng. Họ rất mong mỏi chỉnh sửa răng cho đẹp hơn, trả răng về đúng "trật tự". Với sự tiến bộ của chuyên ngành răng hàm mặt, điều này thực hiện không mấy khó khăn. Mất tự tin vì răng xấu Một ngày ở khoa nắn chỉnh răng có rất nhiều trường hợp đến khám và điều trị bệnh. Người bị vẩu, người răng khấp khểnh,...
TS - BS. Lâm Hoài Phương - Giám đốc B.V Răng Hàm Mặt TW (TPHCM) bệnh viện đã điều trị vẩu nặng xương hàm dưới (hàm dưới đưa ra trước rất nhiều so với hàm trên) cho bệnh nhân theo phương pháp mới - cắt xương hàm dưới theo hình chữ Z rồi đẩy xương về đúng vị trí. Sau phẫu thuật, khớp cắn của bệnh nhân được đưa về vị trí bình thường, không chỉ bảo đảm tốt chức năng ăn - nhai mà...
Khi mang mắc cài sẽ cảm thấy như thế nào? Hầu hết mọi người đều cảm thấy khó chịu khi gắn mắc cài lần đầu tiên hay khi điều chỉnh lực trong suốt quá trình điều trị. Sau khi gắn mắc cài, răng có thể bị đau hay nhạy cảm với lực nhai từ 3 đến 5 ngày. Trong những trường hợp này, chỉ cần sử dụng thuốc giảm đau là đủ. Nếu thuốc giảm đau thông thường không giải quyết được, nên...
Tại sao trẻ em nên đi khám tổng quát với bác sĩ chỉnh nha ? Lúc 7 tuổi, một số răng vĩnh viễn đã mọc và sự phát triển của xương hàm tăng nhanh. Đây là thời điểm mà nha sĩ hay bác sĩ chỉnh nha có thể đánh giá và tiên đoán các vấn đề đang và sẽ xảy ra trong tương lai và thông báo cho cha mẹ biết.
Răng sữa có rất nhiều chức năng quan trọng trên cung hàm. Ngoài các chức năng như ăn nhai, thẩm mỹ, phát âm, nó còn có tác dụng giữ chỗ cho răng vĩnh viễn mọc và kích thích sự phát triển của xương hàm. Nếu răng sữa bị mất sớm, đặc biệt là các răng hàm thì để lại rất nhiều hậu quả nghiêm trọng cho bộ răng vĩnh viễn như: răng mọc chậm, răng mọc lệch, răng ngầm... Do vậy giữ khoảng...
Vẩu xương hàm dưới là một bệnh lý hay gặp trong nhóm bệnh lệch lạc răng -hàm. Bện h này thường có liên quan đến di truyền, ảnh hưởng nhiều đến thẩm mỹ khuôn mặt cũng như chức năng ăn nhai. Điều trị cũng tương đối phức tạp, cần có sự theo dõi, chẩn đoán và điều trị bởi các bác sĩ chỉnh nha. Nhiều trường hợp cần phải được chẩn đoán và điều trị rất sớm ngay từ lúc răng...
Chỉ khi nào trẻ nhận ra thói quen, hậu quả, cùng hiểu được sự cần thiết phải loại bỏ thói quen thì mới có thể điều trị được. • Phần lớn trẻ 4 -5 tuổi tự bỏ thói quen mút ngón tay. • Nếu trẻ không bỏ được thói quen này, nha sĩ nên nói chuyện trực tiếp với trẻ về thói quen. • Có thể trẻ sẽ bỏ dần thói quen mút tay, đặc biệt là những trẻ lớn có hiểu biết. • Tiếp theo, cần...
Khi nghiên cứu các thói quen răng miệng có lẽ mút tay là ý tưởng được nghĩ đến đầu tiên. Các tranh luận về vai trò gây rắc rối khớp cắn của mút ngón tay vẫn còn mạnh mẽ và có lẽ trong tương lai gần vẫn chưa chấm dứt dù có nhiều nghiên cứu xuất sắc phát họa ra những hậu quả của mút ngón tay. Quan sát từ khi còn là bào thai, người ta thấy có các sự co của cơ miệng.

Vệ sinh răng miệng cho...

Bình thường vẫn có một ít thức ăn và mảng bám tồn tại, tích luỹ trên răng, mắt cài. Các thành phần này có thể dẫn...

Xem tiếp...

Răng khểnh ảnh hưởng xấu...

Hàm răng đẹp làm nụ cuời thêm duyên. Theo quan điểm y học, một "bộ nhai" đẹp phải hội tụ đủ các yếu tố: hình dáng...

Xem tiếp...

Điều trị chỉnh hình răng...

Thông thường có 2 hình thức điều trị chỉnh hình răng hàm mặt (CHRHM) ở trẻ là cố định hay tháo lắp, hoặc kết hợp...

Xem tiếp...