Trẻ con hiện nay rất năng động, ham hoạt động, nên trẻ con hay vấp ngã là chuyện thường gặp, do đó răng cũng dễ bị chấn thương. Răng cửa là răng thường bị chấn thương nhất do tai nạn giao thông, do tai nạn sinh hoạt va chạm vật cứng như do trẻ ngã khi đang tập đi, lúc chơi đùa như rượt đuổi nhau, chơi thể thao đá bóng ....
R ăng cửa rất dễ bị chấn thương do tai nạn giao thông, va chạm vật cứng (khi cắn bút, cắn mở nắp chai...). Do có vai trò thẩm mỹ rất quan trọng đối với khuôn mặt nên khi các răng này bị chấn thương, các bác sĩ thường cố gắng bảo tồn. Ở người trẻ tuổi, tủy răng có thể phục hồi sau chấn thương, do đó bác sĩ không vội lấy tủy răng và thường khuyên giảm tối đa tác động lên răng...
Bệnh viện Nhi Đồng 2 (TP.HCM) vừa tiếp nhận hai trường hợp bệnh rất đáng lưu ý. Đó là bé trai A.T., 3 tuổi, bị đinh dài 3cm xuyên qua xương sọ và bé trai T.T., 8 tuổi, bị thủng ruột do tăm xỉa răng.
Bé đang bú bỗng ho sặc sụa, tím tái và lịm đi. Đó là bé đã bị sặc sữa, một tai biến thường gặp khi bú bình. Sữa tràn vào khí quản, thậm chí vào tận phế nang làm tắc đường hô hấp hoặc cản trở quá trình trao đổi khí giữa phế nang và mao mạch, khiến trẻ có thể chết vì thiếu ôxy. Gặp trường hợp này cần cấp cứu ngay vì đưa đi bệnh viện lúc này thường không cứu kịp. Người lớn...
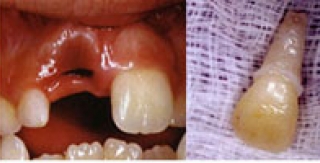
Rủi ro có thể xẩy ra ở mọi nơi, mọi lúc. Theo một báo cáo mới đây, hàng năm có khỏang 1-3 triệu răng vĩnh viễn bị rơi ra ngoài xương ổ răng. Cả người lớn và trẻ em đều có thể gặp rủi ro này. với những bước xử lý khẩn cấp thích hợp, một răng bị rơi ra ngoài xương ổ răng có thể được giữ lại sau nhiều năm bằng phẫu thuật cắm ghép. Điều quan trọng là chúng ta phải làm gì nếu...