Răng khôn là tên thường gọi của răng số 8, hay răng cối lớn thứ ba, thường xuất hiện trên cung hàm của bạn sau 16 tuổi. Việc nhổ bỏ răng khôn nên được thực hiện bởi các bác sĩ chuyên khoa răng hàm mặt, nhất là những răng khôn mọc kẹt hoặc mọc ngầm. Cho đến nay, ngoại trừ các răng khôn mọc lệch hoặc ngầm cần phải nhổ, đối với các răng khôn mọc thẳng, người ta vẫn chưa biết trước...
Răng nanh (gọi là răng số 3), được gọi là mọc ngầm khi nó có trong xương hàm nhưng không mọc ra ngoài xương hàm. Khi khám trên lâm sàng không thấy có răng số 3. Trong số các răng ngầm, răng nanh ngầm chiếm tỉ lệ cao thứ 2 sau các răng khôn, tỷ lệ trung bình có thể đến 2-3% dân số, thường gặp ở nữ hơn nam.
Mất răng ảnh hưởng không những đến sức khỏe răng miệng, mà còn đến sức khỏe toàn thân. Mất răng làm thay đổi hình dáng khuôn mặt, trông già nua hơn... Cụ thể hơn, mất răng gây nên: 1. Xáo trộn khớp cắn: Các răng kế cận có xu hướng di lệch vào khoảng trống mất răng, các răng đối diện vùng mất răng có thể trồi lên hoặc thòng xuống quá mức.
Răng khôn là răng cối lớn thứ ba trong cung hàm. Răng bắt đầu mọc lên trong độ tuổi từ 18 đến 25. Do mọc sau cùng nên răng khôn, đặc biệt là răng khôn hàm dưới, thường bị thiếu chỗ làm răng mọc lệch lạc không đúng vị trí, răng bị kẹt không thể mọc lên hoàn toàn hoặc ngầm trong xương hàm. CÁC TAI BIẾN DO MỌC RĂNG KHÔN Nếu răng khôn không thể mọc ngay ngắn, đúng vị trí, răng có thể...
Trong một số trường hợp, việc nhổ răng cần phải đình chỉ tạm thời: 1. Nhiễm trùng : Nhiễm trùng lây lan từ răng xuống xương và sang nướu xung quanh. Thuốc tê sẽ không có tác dụng, do đó nếu vẫn cứ nhổ thì bệnh nhân sẽ rất đau. Ngoài ra nhiễm trùng có thể xâm nhập, lan ra khắp cơ thể theo đường máu. Như vậy, cần tạm thời hoãn nhổ răng đến khi nhiễm trùng đã được chữa trị bằng...
TT - Với những tiến bộ trong công nghệ nha khoa, các răng hư được giữ lại và bảo tồn ngày càng nhiều, các chỉ định nhổ răng ngày càng ít đi. Tuy nhiên, đôi khi vẫn phải thực hiện việc nhổ răng đối với những răng không thể giữ lại được như: răng sâu quá lớn chỉ còn lại chân, răng lung lay do bệnh nha chu, răng khôn mọc kẹt, mọc lệch gây tai biến, hoặc cần...
Normal 0 false false false MicrosoftInternetExplorer4 Sau khi nhổ… Thông thường, mất khoảng 1 tuần để vết thương bình phục. Tuy nhiên điều này cũng phụ thuộc nhiều vào việc bạn chăm sóc vết thương có tốt không. Tuyệt đối không hút thuốc ít nhất 24 giờ sau khi nhổ. Tuân theo những chỉ dẫn hậu phẫu cụ thể của nha sĩ. Bạn sẽ sưng nhẹ ở vùng nhổ răng, trong khoảng 2, 3 ngày, đôi khi 1 tuần. Đây...
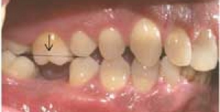
1. Sâu răng : Khi sâu răng đã quá trầm trọng, không thể trám hay điều trị nội nha được nữa thì cũng cần phải nhổ. 2. Bệnh nha chu trầm trọng : trong trường hợp này răng bị lung lay đáng kể do xương bao bọc, hỗ trợ xung quanh răng đã bị tiêu huỷ, không thể phục hồi được nữa. Việc nhổ răng là phương án đơn giản và tiết kiệm nhất.
1.Đánh răng, súc miệng thật sạch. 2.Cho bác sĩ biết rõ về tình trạng hiện tại như đang có kinh, mang thai, cho con bú, đang sốt cao, mệt mỏi hoặc các bệnh mãn tính như: tim mạch, ưa chảy máu, đái tháo đường, tâm thần, dị ứng, đang có dùng thuốc gì không? 3.Ngồi tư thế thoải mái, thở đều, không co má, co môi. 4.Nếu thấy khó chịu như: mệt, ù tai, hoa mắt, chóng mặt, khó thở phải báo cho bác...